Геморрой — распространенная проблема, с которой сталкиваются женщины после кесарева сечения. Его возникновение связано с изменениями в организме, вызванными беременностью и родами, а также особенностями операции. В статье рассмотрим основные причины геморроя после кесарева и эффективные методы лечения. Понимание этих аспектов поможет женщинам своевременно обратиться за медицинской помощью и выбрать оптимальные способы борьбы с этой болезненной проблемой.
Кесарево сечение и геморрой
Геморрой — это деликатная проблема, с которой сталкиваются многие женщины во время беременности. В дополнение к частым позывам к мочеиспусканию в третьем триместре, изжоге и запорам, геморрой также является распространенным состоянием, о котором беременные не должны стесняться. Эта болезненная проблема может быть предотвращена и успешно лечится.
Геморрой чаще всего развивается у женщин, которые рожали естественным путем, однако он также может возникнуть у тех, кто прошел через кесарево сечение.
Хотя большинство молодых матерей могут покинуть больницу через несколько дней после кесарева сечения, процесс восстановления обычно оказывается более сложным, чем после естественных родов. Мамам, перенесшим кесарево сечение, следует уделять особое внимание своему здоровью. У них часто наблюдаются боли в области шва, а также существует риск его расхождения или инфицирования. Им рекомендуется избегать поднятия тяжестей, превышающих вес их ребенка.
В первые часы после операции женщина находится в горизонтальном положении и должна соблюдать строгий постельный режим, что может привести к застою крови в геморроидальных венах и, как следствие, к обострению заболевания.
Как и при любой хирургической операции, кесарево сечение связано с определенными рисками и осложнениями. Многие молодые мамы сталкиваются с запорами после родов. Врачебный персонал старается помочь женщине как можно скорее встать с кровати и начать двигаться по коридору. Это способствует предотвращению образования тромбов в венах и помогает избежать запоров.
Врачи отмечают, что геморрой после кесарева сечения может возникать по нескольким причинам. Одной из основных является длительное пребывание в положении лежа, что приводит к застою крови в области малого таза. Кроме того, изменения в гормональном фоне и повышенное давление на венозные сосуды во время беременности также способствуют развитию этого заболевания. Врачи рекомендуют обратить внимание на профилактику: важно следить за питанием, избегать запоров и включать в рацион продукты, богатые клетчаткой.
При появлении симптомов геморроя, таких как дискомфорт или кровотечения, специалисты советуют не откладывать визит к врачу. Лечение может включать как консервативные методы, такие как применение мазей и свечей, так и более серьезные вмешательства в случае запущенных форм. Важно помнить, что своевременное обращение за медицинской помощью значительно облегчает процесс выздоровления и улучшает качество жизни.
https://youtube.com/watch?v=XEqMbkhBA_M
Что вызывает запор после кесарева сечения?
Послеродовые запоры и замедленная работа кишечника часто возникают из-за изменений в гормональном фоне, а также недостатка жидкости или клетчатки в питании.
После кесарева сечения существует несколько факторов, способствующих запору:
- Препараты, применяемые во время операции (миорелаксанты короткого действия могут временно ослабить мышцы).
- Наркотические обезболивающие средства.
- Обезвоживание, что может стать серьезной проблемой для женщин, кормящих грудью.
- Железо в витаминных комплексах для беременных.
- Ослабление мышц тазового дна.
Еще одной возможной причиной запора может быть психологический фактор. Многие молодые мамы испытывают страх перед болью или опасаются разрывов швов.
Важно понимать, что кесарево сечение – это серьезная операция, и восстановление организма женщины после рождения ребенка требует времени. Кроме того, необходимо восстановиться после самой процедуры. Обычно кишечник начинает функционировать нормально через три-четыре дня. Длительность запора может зависеть от того, использовалась ли эпидуральная анестезия или общий наркоз во время операции.
Не стоит забывать, что перед операцией женщине делали очистительную клизму, и в день кесарева сечения ей нельзя было есть, поэтому задержка стула может быть связана с недостаточным количеством каловых масс.
Запор после родов не должен продолжаться более трех-четырех дней, однако он может вызывать у женщины дискомфорт и боль. Многие врачи рекомендуют безопасные для грудного вскармливания препараты для смягчения стула сразу после родов или операции, чтобы облегчить состояние.
Кесарево сечение не всегда планируется заранее. В некоторых случаях оно проводится после нескольких часов родов, если у женщины диагностирован узкий таз или наблюдаются проблемы с сердцебиением плода.
Запор и геморрой после операции могут возникнуть из-за того, что ребенок некоторое время проходил через родовые пути, что приводило к повышению внутрибрюшного давления, сдавливанию сосудов малого таза и напряжению мышц и связок в области таза.
Задержка стула после кесарева сечения может быть связана с тем, что врач назначил женщине обезболивающие препараты на первые 2-3 дня после операции; как только она прекращает их принимать, работа кишечника обычно восстанавливается.
| Причина | Механизм возникновения | Лечение и профилактика |
|---|---|---|
| Повышенное внутрибрюшное давление | Во время беременности матка увеличивается в размерах, сдавливая вены малого таза. При кесаревом сечении, несмотря на отсутствие потуг, давление на вены может сохраняться из-за положения на операционном столе, манипуляций хирурга и послеоперационного вздутия живота. | Консервативное: Диета с высоким содержанием клетчатки, обильное питье, регулярный стул, избегание натуживания. Медикаментозное: Местные средства (свечи, мази с анестетиками, венотониками, противовоспалительными компонентами), системные венотоники (по назначению врача). Профилактика: Ранняя активизация после операции (по возможности), ношение компрессионного белья (по рекомендации врача). |
| Гормональные изменения | Высокий уровень прогестерона во время беременности расслабляет гладкую мускулатуру, включая стенки кровеносных сосудов, что способствует их расширению и застою крови. После родов уровень гормонов постепенно нормализуется, но последствия могут сохраняться. | Консервативное: См. выше. Медикаментозное: См. выше. Профилактика: Поддержание здорового образа жизни во время беременности. |
| Запоры | Часто возникают после кесарева сечения из-за действия анестезии, приема обезболивающих препаратов, снижения физической активности и изменения рациона. Натуживание при дефекации значительно увеличивает давление в венах прямой кишки. | Консервативное: Диета, богатая клетчаткой (овощи, фрукты, цельнозерновые продукты), достаточное потребление воды (не менее 2-2,5 литров в день), регулярная физическая активность (по мере восстановления). Медикаментозное: Слабительные средства (мягкого действия, разрешенные при грудном вскармливании, по назначению врача). Профилактика: Ранняя активизация, сбалансированное питание, достаточное питье. |
| Снижение тонуса сосудистой стенки | Беременность и роды могут ослаблять стенки венозных сосудов, делая их более подверженными расширению. | Консервативное: См. выше. Медикаментозное: Венотоники (по назначению врача). Профилактика: Поддержание здорового образа жизни, умеренная физическая активность. |
| Наследственная предрасположенность | Если у близких родственников были проблемы с геморроем, риск его развития повышается. | Профилактика: Особое внимание к мерам профилактики во время беременности и после родов. |
| Длительное пребывание в положении лежа | После кесарева сечения женщине рекомендуется соблюдать постельный режим в течение определенного времени, что может способствовать застою крови в венах малого таза. | Профилактика: Ранняя активизация (по возможности), выполнение легких упражнений для ног и таза в постели (по рекомендации врача). |
| Недостаточная физическая активность | Снижение двигательной активности после операции замедляет кровообращение и способствует развитию запоров. | Профилактика: Постепенное увеличение физической активности по мере восстановления, прогулки. |
Лечение геморроя после кесарева сечения
Рекомендации:
- После операции рекомендуется использовать резиновый круг или небольшую подушечку под таз и ноги. Это поможет предотвратить застой крови в венах.
- Препараты Дюфалак и Лактусан эффективно борются с запорами и безопасны для кормящих матерей.
- В сложных случаях запора можно применять клизмы с отварами трав, однако не стоит делать их слишком часто, так как это может нарушить баланс микрофлоры кишечника.
- Для лечения геморроя у женщин, которые кормят грудью, лучше всего подходят ректальные свечи с натуральными компонентами, такими как облепиховое масло, акулий жир и прополис.
- В первые дни после операции следует ограничить потребление фруктов и овощей, так как они могут вызвать повышенное газообразование и вздутие живота.
Диета после кесарева сечения должна быть согласована с врачом. В первые часы после операции женщине разрешается пить специальные смеси с гидролизатами белков.
Лечение геморроя после кесаревав домашних условиях:**
- Накладывайте холодный компресс на область ануса несколько раз в день, чтобы уменьшить отечность варикозных узлов. Держите компресс на месте около 10 минут.
- Чередование холодных компрессов с пакетами льда и теплой сидячей ванной может принести облегчение при геморрое. Однако эти методы следует применять только после заживления шва.
После кесарева сечения многие женщины сталкиваются с проблемой геморроя. Причины этого состояния могут быть разнообразными: изменения в гормональном фоне, недостаток физической активности и давление на сосуды в области таза. Женщины отмечают, что после операции они стали более подвержены запорам, что также усугубляет ситуацию. Лечение геморроя часто включает в себя изменение рациона питания, увеличение потребления клетчатки и жидкости, а также физические упражнения, которые помогают улучшить кровообращение. В некоторых случаях врачи рекомендуют использовать местные препараты для облегчения симптомов. Важно помнить, что консультация с врачом необходима для выбора наиболее подходящего метода лечения, так как каждая ситуация индивидуальна. Женщины делятся опытом, что комплексный подход к лечению и профилактике помогает справиться с этой деликатной проблемой и улучшить качество жизни после родов.
https://youtube.com/watch?v=PV11bjwL5TE
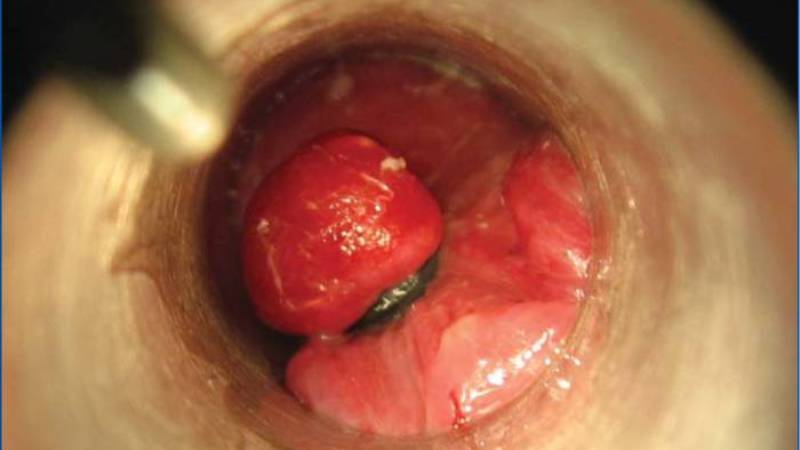
Что такое пролапсированный геморрой?
Геморрой представляет собой расширенные или воспаленные вены в области ануса и прямой кишки. Это довольно распространенное заболевание, однако женщины, которые недавно стали матерями, чаще сталкиваются с проблемой выпадения геморроя. При этом состоянии венозные узлы значительно увеличиваются и могут выходить за пределы ануса. В результате они становятся заметными, образуя шишечки, которые отличаются по цвету от окружающей анальной области. Поскольку анус окружен множеством чувствительных нервных окончаний, выпадение геморроя может вызывать дискомфорт и боль.
Советы по снижению факторов риска
Геморрой возникает из-за повышенного давления, которое приводит к расширению вен в области анального отверстия.
Симптомы геморроя, независимо от его причин, часто проявляются одинаково: ярко-красные ректальные кровотечения, дискомфорт, зуд и увеличенные вены в ректальной или анальной зоне. Геморрой может быть внутренним, находясь внутри ректального канала, или внешним.
Если у вас есть геморрой, но венозные узлы еще не выпали, существуют способы снизить риск развития этого состояния, включая:
- Не задерживайтесь долго в туалете при запорах.
- Избегайте чтения в туалете, так как длительное напряжение может усугубить отек.
- Регулярно выполняйте упражнения Кегеля.
- Увеличьте потребление пищевых волокон, включая фрукты, овощи и злаки.
- Пейте достаточное количество жидкости.
При хронических запорах не стоит злоупотреблять слабительными средствами, так как диарея может привести к выпадению геморроидальных вен.
Лечение геморроя при неэффективности консервативной терапии
Если консервативные методы лечения не приносят желаемых результатов, через два месяца после кесарева сечения можно рассмотреть возможность проведения хирургической операции или малоинвазивных процедур для удаления геморроидальных узлов.
Существует несколько способов лечения геморроя:
- Лигирование резинкой — данный метод заключается в том, что геморроидальный узел обвязывается у основания резиновыми кольцами, что приводит к прекращению кровоснабжения. В результате узел уменьшается в течение нескольких дней.
- Склеротерапия — в ходе этой процедуры специалисты вводят специальный химический раствор в область геморроя. После инъекции формируется рубцовая ткань, что способствует уменьшению геморроидального узла.
- Геморроидэктомия — это хирургическое вмешательство, при котором удаляются геморроидальные узлы, расположенные вокруг анального канала.
Профилактика геморроя после кесарева сечения
Не оставайтесь в одном положении слишком долго во время кормления малыша. Длительное сидение может усугубить геморрой. Лучше использовать мягкую подушку под ягодицы или, если есть возможность, кормите ребенка, лежа на боку.
Выбирайте комфортное нижнее белье — идеальными будут хлопковые или другие натуральные, дышащие ткани. Грубые материалы или изделия из синтетических волокон могут вызывать раздражение геморроидальных вен.
Регулярно выполняйте физические упражнения в течение дня. Активность способствует улучшению кровообращения и снижает риск застоя венозной крови в органах и тканях. Для кормящих мам отлично подойдут прогулки, йога и занятия на кардио-тренажерах в спортзале.
Избыточный вес или ожирение могут способствовать возникновению геморроя. Снижение веса после родов может помочь избежать этой проблемы в будущем.
Не забывайте о теплых ваннах. Они способствуют расслаблению и помогают уменьшить симптомы геморроя. Добавление эфирных масел может сделать ванны еще более эффективными.
К сожалению, многие люди не придерживаются здорового питания. Редко кто включает в свой рацион достаточное количество клетчатки. Люди, которые потребляют много мяса и недостаточно продуктов с высоким содержанием клетчатки, сталкиваются с трудностями при опорожнении кишечника. Это приводит к повышению давления в области ануса, что может вызвать геморрой.
Употребляйте много продуктов, богатых клетчаткой, таких как цельные зерна, овощи и фрукты, чтобы сделать стул мягким и предотвратить геморрой.
Заключение
Обсуждение геморроя часто вызывает неловкость, однако это проблема, с которой сталкиваются многие люди на протяжении своей жизни, особенно в период беременности и родов. Понимание основных причин возникновения геморроя может помочь в его профилактике и снижении риска развития этого недуга.
https://youtube.com/watch?v=2VPNcFqBTXM
Роль питания в профилактике и лечении геморроя
Питание играет ключевую роль в профилактике и лечении геморроя, особенно у женщин, перенесших кесарево сечение. После операции организм нуждается в восстановлении, и правильный рацион может значительно облегчить этот процесс, а также снизить риск возникновения геморроя.
Во-первых, важно обеспечить достаточное потребление клетчатки. Она способствует нормализации работы кишечника, предотвращая запоры, которые являются одной из основных причин геморроя. Рекомендуется включать в рацион фрукты, овощи, цельнозерновые продукты и бобовые. Например, яблоки, груши, морковь, брокколи и овсянка – отличные источники клетчатки.
Во-вторых, необходимо следить за достаточным уровнем гидратации. Употребление достаточного количества воды (не менее 1,5-2 литров в день) помогает размягчить стул и облегчить его выведение. Это особенно актуально для женщин после кесарева сечения, когда организм может быть подвержен обезвоживанию из-за потери жидкости во время операции и в послеродовом периоде.
Также стоит обратить внимание на продукты, которые могут способствовать улучшению пищеварения. Кефир, йогурт и другие пробиотики помогают поддерживать здоровую микрофлору кишечника, что также способствует предотвращению запоров. Включение в рацион орехов и семян, таких как льняные семена, может дополнительно улучшить работу кишечника благодаря содержанию полезных жиров и клетчатки.
Важно избегать продуктов, которые могут усугубить состояние. Это касается острого, жирного и жареного, а также продуктов, способствующих газообразованию, таких как бобовые и капуста. Алкоголь и кофеин также могут негативно сказаться на состоянии кишечника и способствовать обезвоживанию.
Кроме того, следует учитывать, что после кесарева сечения женщина может испытывать определенные ограничения в физической активности, что также может влиять на работу кишечника. Поэтому правильное питание становится особенно важным в этот период, чтобы минимизировать риск возникновения геморроя и других проблем с пищеварением.
В заключение, правильное питание является важным аспектом профилактики и лечения геморроя после кесарева сечения. Сбалансированный рацион, богатый клетчаткой и жидкостью, поможет не только улучшить общее состояние здоровья, но и ускорить восстановление после операции.
Вопрос-ответ
Почему после кесарева сечения появился геморрой?
Причины появления геморроя после родов. Когда головка ребёнка опускается в малый таз, происходит компрессия вен прямой кишки, а её ослабленные области выбухают. При выходе головки наружу может произойти смещение наружу уже имеющегося геморроя и даже разрыв узлов.
Как вылечить геморрой после кесарева сечения?
Домашние средства. Сидячая ванна — это теплая ванна с водой, в которой вы сидите, чтобы расслабить геморрой. В сидячую ванну можно добавить английскую соль (сульфат магния), но это необязательно. Еще одно домашнее средство — небольшой пакет со льдом. Обязательно оберните его тканью или бумажным полотенцем, прежде чем прикладывать к пораженному участку, чтобы избежать ожогов от льда.
Можно ли полностью вылечить геморрой после родов?
Поэтому нередко геморроидальные узлы бесследно исчезают через несколько месяцев после родов. Однако это не означает, что геморрой во время беременности не требует лечения. Риск осложнений остается достаточно высоким, поэтому пациентке требуется постоянное наблюдение у проктолога и грамотное щадящее лечение.
Как долго проходит послеродовой геморрой?
В большинстве случаев послеродовой геморрой проходит самостоятельно в течение двух-четырёх недель, но иногда может длиться дольше. Если он не проходит, проконсультируйтесь с врачом.
Советы
СОВЕТ №1
Обратите внимание на свое питание. Увеличьте потребление клетчатки, чтобы предотвратить запоры, которые могут усугубить симптомы геморроя. Включите в рацион фрукты, овощи, цельнозерновые продукты и пейте достаточное количество воды.
СОВЕТ №2
Регулярно занимайтесь физической активностью. Умеренные физические нагрузки, такие как прогулки или легкие упражнения, могут помочь улучшить кровообращение и снизить риск возникновения геморроя. Однако избегайте тяжелых физических нагрузок в первые недели после кесарева сечения.
СОВЕТ №3
Не игнорируйте симптомы. Если вы заметили кровотечения, зуд или дискомфорт в области ануса, обратитесь к врачу. Раннее обращение за медицинской помощью может помочь избежать осложнений и выбрать правильное лечение.
СОВЕТ №4
Используйте местные средства для облегчения симптомов. Кремы и мази, содержащие гидрокортизон или другие успокаивающие компоненты, могут помочь уменьшить воспаление и зуд. Однако перед использованием любых препаратов проконсультируйтесь с врачом.





