Геморроидальные шишки — распространенная проблема, вызывающая дискомфорт и боль. В статье рассмотрим различия между геморроидальными шишками и узлами, а также эффективные методы лечения. Понимание проблемы и доступных решений поможет выбрать оптимальный подход и улучшить качество жизни.
Что такое геморроидальная шишка
Такое образование формируется в результате нарушения кровообращения в области заднего прохода. В результате этого происходит образование варикозного скопления вен, которое может превратиться в небольшую шишку. Она может находиться внутри ануса или выпадать наружу при увеличении размеров. При геморрое упругая шишка не способна рассосаться самостоятельно, поэтому важно не откладывать начало лечения.
Существует множество причин, способствующих появлению такого образования, среди которых можно выделить следующие:
- обострение хронической формы геморроя;
- малоподвижный образ жизни, сидячая работа или длительное пребывание в положении «сидя». Это приводит к ослаблению мышц заднего прохода, что может вызвать выпадение шишек;
- регулярные запоры. Во время дефекации человек сильно напрягается, что создает давление на вену ануса и приводит к образованию геморроидальных узлов и шишек;
- неправильный режим питания и размеры порций;
- нарушения в работе сердечно-сосудистой системы;
- часто во время беременности возникает шишка в заднем проходе из-за увеличенного давления на органы малого таза;
- предрасположенность к варикозному расширению вен.
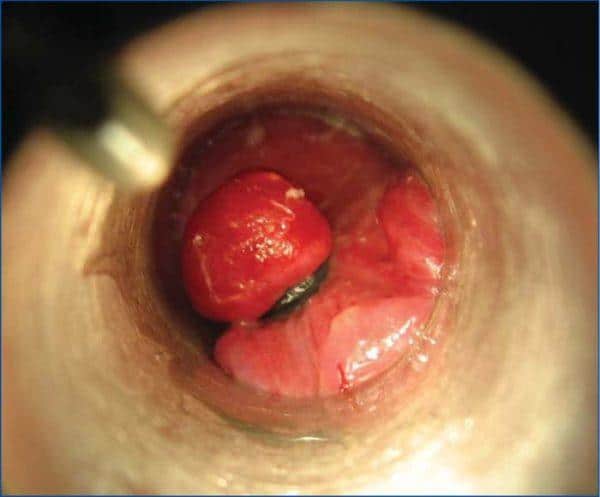
Если у человека наблюдается боль в области шишки возле заднего прохода, как показано на фото ниже, это может указывать на обострение геморроя и требует срочного медицинского вмешательства.
При наружных геморроидальных шишках пациент может заметить их снаружи ануса. Основные симптомы, указывающие на наличие геморроидальных шишек, включают: болезненные ощущения во время дефекации, следы крови на нижнем белье, туалетной бумаге или в кале, а также выраженный зуд и жжение в области заднего прохода.
Все эти признаки свидетельствуют о тяжелой форме геморроя, поэтому не стоит откладывать лечение. Мы рассмотрим, чем можно лечить наружную геморроидальную шишку, ниже.
Узнайте из этой статьи, какие факторы способствуют развитию геморроя.
Врачи подчеркивают, что лечение геморроидальных шишек требует комплексного подхода. В первую очередь, важно изменить образ жизни: увеличить физическую активность, следить за рационом и избегать запоров. Врачи рекомендуют включить в меню больше клетчатки, что способствует нормализации стула.
Медикаментозное лечение может включать использование мазей и свечей, которые уменьшают воспаление и облегчают симптомы. Однако в более сложных случаях может потребоваться хирургическое вмешательство. Врачи акцентируют внимание на том, что самолечение может усугубить ситуацию, поэтому важно обратиться к специалисту для получения индивидуальных рекомендаций. Регулярные осмотры и профилактика также играют ключевую роль в предотвращении рецидивов.
https://youtube.com/watch?v=IKEvclWMGJM
Чем отличается от геморроидального узла
Разница между этими двумя терминами значительна. Врачи четко различают геморроидальный узел и геморроидальную шишку. Узел появляется на ранних этапах геморроя и представляет собой скопление вен. Существует четыре стадии геморроя, каждая из которых имеет свои особенности в поведении геморроидальных узлов. Воспаление именно этих узлов и называется геморроидальными шишками.
При этом происходит увеличение венозного узла, что приводит к его значительному воспалению. О геморроидальных шишках можно говорить уже на более поздних стадиях заболевания. Если геморрой исчез, но шишка на анусе осталась, врачи рекомендуют ее удаление для предотвращения повторного возникновения проблемы. Ниже представлены фотографии геморроидальных шишек в области заднего прохода.
| Метод лечения | Описание | Рекомендации |
|---|---|---|
| Консервативное лечение | ||
| Диета и образ жизни | Увеличение потребления клетчатки, достаточное питье, регулярная физическая активность. | Избегать острой, жирной пищи, алкоголя. Не задерживать стул. |
| Местные средства | Мази, свечи с анестетиками, противовоспалительными, венотонизирующими компонентами. | Применять по назначению врача, соблюдать гигиену. |
| Системные препараты | Венотоники (флеботоники) для укрепления стенок сосудов. | Принимать курсами, по рекомендации врача. |
| Холодные компрессы | Прикладывание льда или холодных компрессов к пораженной области. | Не прикладывать лед непосредственно к коже, использовать ткань. |
| Теплые сидячие ванночки | Сидение в теплой воде с добавлением трав (ромашка, кора дуба) или марганцовки. | Продолжительность 15-20 минут, 2-3 раза в день. |
| Минимально инвазивные процедуры | ||
| Лигирование латексными кольцами | Наложение латексных колец на основание геморроидального узла, что приводит к его некрозу и отторжению. | Проводится амбулаторно, может потребоваться несколько сеансов. |
| Склеротерапия | Введение специального раствора в геморроидальный узел, вызывающего его склерозирование и уменьшение. | Подходит для внутренних геморроидальных узлов 1-2 стадии. |
| Инфракрасная фотокоагуляция | Воздействие инфракрасным излучением на основание узла, что приводит к его коагуляции. | Эффективна для внутренних геморроидальных узлов 1-2 стадии. |
| Лазерная коагуляция | Использование лазера для удаления или уменьшения геморроидальных узлов. | Менее болезненна, чем традиционная хирургия. |
| Хирургическое лечение | ||
| Геморроидэктомия | Хирургическое удаление геморроидальных узлов. | Применяется при больших, выпадающих узлах, неэффективности других методов. |
| Дезартеризация геморроидальных узлов (HAL-RAR) | Перевязка артерий, питающих геморроидальные узлы, с последующей подтяжкой узлов. | Менее травматична, чем геморроидэктомия. |
Как лечить геморроидальные шишки
При выявлении данной проблемы у пациентов возникает множество вопросов: как правильно лечить геморрой и как образование шишек может сказаться на качестве жизни? В первую очередь, стоит обратиться к нескольким специалистам, которые проведут детальное обследование, предложат различные варианты терапии, и только после этого пациент сможет выбрать наиболее подходящий метод решения своей проблемы.
Обычно, на ранних этапах заболевания рекомендуется применять консервативные методы лечения: назначаются специальные таблетки, мази, кремы или ректальные суппозитории. Давайте подробнее рассмотрим каждый из аспектов лечения узлов в области заднего прохода.
Многие люди сталкиваются с проблемой геморроидальных шишек и ищут способы избавиться от них. В отзывах часто упоминаются различные методы, включая изменения в рационе, применение местных средств и даже хирургические вмешательства. Некоторые отмечают, что увеличение потребления клетчатки и воды помогло им улучшить состояние, а также снизить запоры, что является одной из причин возникновения геморроя. Другие делятся опытом использования мазей и свечей, которые облегчают симптомы и уменьшают воспаление. Однако не все методы подходят каждому, и многие советуют обратиться к врачу для получения индивидуальных рекомендаций. Важно помнить, что самолечение может усугубить проблему, поэтому лучше довериться специалисту.
https://youtube.com/watch?v=ZFjF8NbQR8c
Препараты
Давайте рассмотрим наиболее распространенные препараты от геморроидальных узлов в форме таблеток: «Детралекс», «Пайлекс», «Гинкор Форт» и другие. Их использование эффективно при наружных геморроидальных узлах, регулярный прием одного из этих средств помогает избавиться от болевых ощущений, улучшает работу кишечника, облегчает процесс дефекации и предотвращает образование новых узлов.
В качестве примеров мазей и свечей для лечения геморроидальных шишек можно выделить следующие средства:
- Свечи «Релиф» и их аналоги — содержат анестезирующие компоненты, которые быстро снимают боль в области заднего прохода.
- Среди мазей популярностью пользуются Гепариновая мазь и «Нигепан», которые способствуют улучшению состояния кровеносных сосудов, уменьшают боль и отечность в анусе.
- Препараты, такие как «Нурофен» и «Диклофенак», помогают справиться с воспалительными процессами на более запущенных стадиях геморроя.
- При сильных кровотечениях из заднего прохода эффективными являются свечи и мази «Проктогливенол» и «Адроксон».
Как можно избавиться от шишек в области заднего прохода с помощью мазей? Этот метод лечения будет действенным только на ранних стадиях заболевания, так как мази в основном оказывают местное анестезирующее действие. К таким средствам можно отнести:
- Мазь «Релиф». Благодаря натуральным компонентам, ее эффективность проявляется при длительном использовании. Подходит только для наружного геморроя.
- «Проктозан» быстро заживляет трещины в заднем проходе, устраняет зуд и боль, предотвращает возможные кровотечения и способствует быстрой регенерации тканей.
- «Левомеколь» обладает антибактериальными свойствами и применяется исключительно для наружных геморроидальных узлов.
Как вылечить геморрой без хирургического вмешательства? Узнайте по ссылке.
Народные средства
Как лечить геморрой и наружные шишки в домашних условиях? Появление геморроя часто связано с неправильным питанием и недостатком важных для организма веществ. Поэтому в первую очередь необходимо восполнить их нехватку. Лечение геморроидальных шишек с помощью народных средств пользуется большой популярностью. Рассмотрим основные методы:
- Коррекция питания пациента. Рацион следует обогатить магнием, витаминами К, В и С. Для этого рекомендуется составить специальную диету, включающую продукты с высоким содержанием этих веществ.
- Примочки с облепиховым маслом. Они помогают уменьшить отечность и облегчить боль в области заднего прохода. Можно использовать облепиховые суппозитории или просто прикладывать вату с маслом на область ануса на ночь. Рекомендуется использовать ежедневные прокладки, чтобы избежать загрязнения нижнего белья.
- Свечи из сырого картофеля. Для этого из очищенного картофеля вырезаются небольшие кусочки длиной около 5 см, один из концов слегка закругляется. Их нужно вводить непосредственно в задний проход, курс лечения составляет не менее 10 дней.
- Применение свежего картофельного сока. Овощ натирается на мелкой терке, затем сок отжимается через марлю и используется для примочек на анус. Длительность прикладывания составляет от 10 до 15 минут.
Эффективность народных методов лечения не всегда подтверждена, поэтому для снижения риска ухудшения состояния лучше обратиться к врачу. Специалист назначит необходимое медикаментозное лечение, а в некоторых случаях может потребоваться и хирургическое вмешательство.
Операции
Если медикаментозное лечение не приводит к исчезновению геморроидальной шишки, врач обязательно рекомендует хирургическое вмешательство для её удаления. Существует несколько методов, которые могут быть использованы:
- склеротерапия: вводится специальный раствор, способствующий уменьшению размера геморроидальной шишки;
- удаление слизистой оболочки над геморроидальной шишкой. Этот метод применяется в случае тромбоза шишек;
- операция по технологии Лонго. В ходе этой процедуры осуществляется вшивание части прямой кишки, что ограничивает приток крови к шишке. В результате этого происходит постепенное уменьшение пораженного участка в области ануса.
Во время беременности
Геморрой у женщин в период беременности является довольно распространенной проблемой, которая может возникнуть как в течение беременности, так и во время родов.
Чаще всего для лечения назначают медикаменты: применяются мази или свечи, которые помогают справиться с геморроем. Если такой подход не дает желаемых результатов, то после родов и завершения грудного вскармливания может быть рекомендовано хирургическое удаление узлов.
Заключение
Геморроидальные узлы представляют собой серьезную угрозу для здоровья человека. Именно по этой причине крайне важно своевременно заниматься лечением данной проблемы.
В этой статье мы подробно обсудим, как лечить геморроидальные узлы, какие факторы способствуют их возникновению и какие основные симптомы следует учитывать. Не забывайте, что геморрой, хотя и неприятное заболевание, может быть весьма опасным. Поэтому при первых признаках недомогания рекомендуется обратиться за консультацией к проктологу.
https://youtube.com/watch?v=xyvhzE-gzxA
Профилактика геморроидальных шишек
Профилактика геморроидальных шишек играет ключевую роль в поддержании здоровья и предотвращении рецидивов заболевания. Основные аспекты профилактики можно разделить на несколько категорий: изменение образа жизни, правильное питание, физическая активность и соблюдение гигиенических норм.
Изменение образа жизни: Одним из первых шагов к профилактике геморроя является отказ от вредных привычек, таких как курение и злоупотребление алкоголем. Эти факторы могут ухудшать кровообращение и способствовать развитию венозной недостаточности. Также важно избегать длительного сидения или стояния, что может привести к повышенному давлению на вены в области заднего прохода. Если ваша работа связана с длительным сидением, старайтесь делать перерывы каждые 30-60 минут, чтобы размяться и улучшить кровообращение.
Правильное питание: Рацион, богатый клетчаткой, помогает предотвратить запоры, которые являются одной из основных причин геморроя. Включите в свой рацион больше фруктов, овощей, цельнозерновых продуктов и бобовых. Увлажнение также играет важную роль; старайтесь пить достаточное количество воды в течение дня, чтобы поддерживать нормальную работу кишечника. Избегайте острого, жирного и переработанного питания, так как оно может усугубить симптомы и способствовать запорам.
Физическая активность: Регулярные физические упражнения способствуют улучшению кровообращения и укреплению мышц тазового дна. Упражнения, такие как ходьба, плавание и йога, могут быть особенно полезны. Также стоит обратить внимание на специальные упражнения для укрепления мышц анального сфинктера, такие как упражнения Кегеля. Они помогают улучшить тонус мышц и предотвратить развитие геморроидальных шишек.
Соблюдение гигиенических норм: Личная гигиена играет важную роль в профилактике геморроя. Регулярное мытье области заднего прохода мягким мылом и теплой водой помогает предотвратить инфекции и раздражение. Избегайте использования жесткой туалетной бумаги; вместо этого можно использовать влажные салфетки или специальные гигиенические средства. Также важно не игнорировать позывы к дефекации, так как задержка может привести к запорам и увеличению давления на вены.
Внедрение этих простых, но эффективных мер в повседневную жизнь поможет снизить риск возникновения геморроидальных шишек и улучшить общее состояние здоровья. Помните, что профилактика всегда проще и эффективнее, чем лечение, поэтому стоит уделить внимание своему образу жизни уже сегодня.
Вопрос-ответ
Какие методы лечения геморроидальных шишек наиболее эффективны?
Существует несколько методов лечения геморроидальных шишек, включая консервативные и хирургические. Консервативные методы включают использование мазей и свечей, которые уменьшают воспаление и боль. Хирургические методы, такие как лигирование или геморроидэктомия, могут быть необходимы в более тяжелых случаях. Важно проконсультироваться с врачом для выбора наиболее подходящего метода.
Как предотвратить появление геморроидальных шишек?
Для предотвращения геморроидальных шишек рекомендуется поддерживать здоровый образ жизни: следить за питанием, увеличивать потребление клетчатки, пить достаточно воды и заниматься физической активностью. Также важно избегать длительного сидения и напряжения во время дефекации.
Когда следует обратиться к врачу при наличии геморроидальных шишек?
Обратиться к врачу следует, если геморроидальные шишки вызывают сильную боль, кровотечение, или если симптомы не улучшаются после домашнего лечения в течение нескольких дней. Также важно проконсультироваться с врачом, если вы заметили изменения в характере стула или другие необычные симптомы.
Советы
СОВЕТ №1
Регулярно включайте в свой рацион продукты, богатые клетчаткой, такие как фрукты, овощи и цельнозерновые продукты. Это поможет предотвратить запоры и снизить давление на геморроидальные вены.
СОВЕТ №2
Увлажняйте область заднего прохода с помощью теплых сидячих ванн. Это может помочь уменьшить дискомфорт и воспаление, а также улучшить кровообращение в этой области.
СОВЕТ №3
Избегайте длительного сидения на унитазе и не перенапрягайтесь во время дефекации. Это может усугубить состояние геморроидальных шишек. Попробуйте установить регулярный график походов в туалет, чтобы избежать запоров.
СОВЕТ №4
Обратитесь к врачу для получения рекомендаций по использованию местных средств, таких как кремы или свечи, которые могут облегчить симптомы и помочь в лечении геморроя.



